La portada de mañana
Acceder
Trump se revuelve tras el revés del Supremo a los aranceles y a su agenda
El plan de Rufián, en datos: la unidad de Sumar y Podemos importa más
Opinión - 'La corrupción generalizada del sistema crea monstruos', por Rosa M. Artal

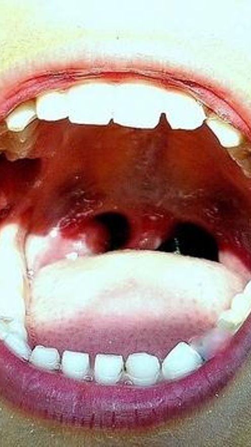
Cardiólogos recomiendan evitar si es posible la extracción de amígdalas y apéndice por su posible riesgo de infarto

MADRID, 24 (EUROPA PRESS)

La Sociedad Española de Cardiología (SEC) recomienda que “únicamente” se realice la extracción de amígdalas y apéndice en los casos en los que otro tipo de tratamiento no haya sido efectivo, tras la publicación de un estudio que evidenciaba, en caso de intervención, el riesgo de padecer un infarto agudo de miocardio.

“Es importante no alertar a la población sobre estas intervenciones, ya que el estudio solo sugiere la existencia de un posible relación causal, lo que sí que desde la SEC recomendamos es que únicamente se realicen en los casos en los que otro tipo de tratamiento no haya sido efectivo”, señala el vicesecretario de la SEC, el doctor Alfonso Varela Román.

Por este motivo, el experto recomienda evitar intervenciones de tipo preventivo, “ya que diversos estudios realizados en los últimos años, demuestran que la extirpación de estos órganos linfoides secundarios no es tan inocuo como se creía”.

La investigación, publicado en el 'European Heart Journal', señala que la extirpación de las amígdalas antes de los 20 años de edad aumenta en un 44 por ciento, el riesgo de padecer un infarto agudo de miocardio mientras que la extirpación del apéndice lo hace en un 33 por ciento.

“Lo que sí se hace cada vez más evidente con estudios como éste, es el papel que juega la inflamación en el desarrollo de la arterioesclerosis, que a su vez puede derivar en un infarto”, prosigue Román, quien añade que “la presencia de mediadores inflamatorios en las arterias coronarias favorece el desarrollo de la placa de ateroma y puede desencadenar un infarto”.

PUBLICADO EN EL 'EUROPEAN HEART JOURNAL'

Investigadores del Departamento de Salud Pública del Instituto Karolinska en Estocolmo (Suecia) aseguran que quienes se someten a una operación quirúrgica antes de los 20 años para extirparles las amígdalas o el apéndice tienen más riesgo de sufrir un infarto en el futuro.

Así se desprende de un artículo publicado en el 'European Heart Journal', tras haber analizado los registros nacionales de salud de Suecia entre 1955 y 1970, en los que se encontraron casi 54.400 apendicectomías y 27.280 amigdalectomías en menores de 20 años.

Actualmente se estima que entre el 10 y 20 por ciento de los jóvenes se someten a una intervención para extirpar uno de estos dos órganos linfoides, componentes del sistema inmune humano, cuya importancia es “modesta”. De hecho, en el pasado se solía extraer las amígdalas de los niños pequeños antes de que éstas provocaran infecciones.

No obstante, en las últimas décadas las recomendaciones es no extraerlas a menos que estén causando problemas persistentes en los menores, como sucede con el apéndice.

En el estudio se realizó un seguimiento de unos 23,5 años de media a aquellos jóvenes que se habían sometido a una de estas operaciones, para así determinar cuántos de éstos habían sufrido un infarto, mortal o no.

De este modo, pudieron observar que la amigdalectomía incrementaba el riesgo de esta dolencia en un 44 por ciento y la apendicectomía en 33 por ciento. Además, si se extraen ambos órganos el riesgo es mayor mientras que, por contra, no se detectó un mayor riesgo de infartos en personas sin apéndice o amígdalas operadas después de los 20 años.

No obstante, los autores, según explican en declaraciones a la BBC, subrayan que al comparar el número absoluto de infartos en el estudio el riesgo se vuelve relativamente pequeño.

“Debido a la clara evidencia biológica y epidemiológica que vincula a la inflamación con enfermedad coronaria, podríamos pensar que la extracción quirúrgica de las amígdalas o el apéndice, con su consecuente efecto en la inmunidad, podría tener un efecto a largo plazo en esta enfermedad” explica el doctor Imre Janszky, autor del estudio.

Los investigadores creen que la extracción de estos órganos quizás está causando un “complejo” efecto de largo plazo en el sistema inmune, que podría incluir una reducción en la producción de inmunoglobulina, que son los anticuerpos que utiliza el sistema inmune para identificar y combatir a organismos foráneos en el organismo, como bacterias y virus.

Etiquetas
stats