Has elegido la edición de . Verás las noticias de esta portada en el módulo de ediciones locales de la home de elDiario.es.
La portada de mañana
Acceder
Bárcenas señala a Rajoy en el juicio como interesado en sabotear el caso de la caja B
Exclusiva - En los almacenes 'secretos' del CNIO: material de obra que no se usaba
Opinión - 'A Juanma Moreno le explota la cabeza', por Esther Palomera

Detectar alzhéimer precoz mirando los ojos

Imagen ojo.

Inés López Cuenca, José Manuel Ramírez Sebastían

Contratada predoctoral para la formación de personal investigador de la Universidad Complutense de Madrid y Catedrático de Oftalmología de la Universidad Complutense de Madrid. Director del Instituto de Investigaciones Oftalmológicas Ramón Castroviejo —

0

¿Se sometería a alguna prueba genética para conocer su riesgo de padecer alzhéimer? Según un informe de la Organización Mundial de la Salud de 2019 realizado sobre 700.000 participantes, el 82% responde afirmativamente. Después de todo, no hay que olvidar que la enfermedad de Alzheimer es la causa más común de demencia a nivel mundial. Se estima que en torno a 50 millones de personas la sufren. Y tras la edad, uno de los mayores factores de riesgo para el desarrollo de esta enfermedad es la herencia genética.

Con este dato sobre la mesa, se entiende que los familiares de personas que tienen esta enfermedad, con un riesgo de dos a cuatro veces mayor de desarrollarla, estén altamente concienciados con este problema de salud. Eso los convierte en una población ideal para estudiar la enfermedad en fases muy tempranas, incluso antes de la aparición de los primeros síntomas clínicos.

En un estudio que hemos realizado recientemente demostramos cómo la Tomografía de Coherencia Óptica (OCT) permite detectar cambios precoces en la retina de sujetos asintomáticos que nos pueden poner sobre aviso.

Relación entre el ojo y el cerebro

El ojo es una proyección del cerebro que deriva embriológicamente del diencéfalo. En cuanto a la retina, al igual que el cerebro, está constituida por capas neuronales especializadas interconectadas a través de las sinapsis.

Este hecho ha cobrado especial relevancia, dando lugar a la publicación de diferentes artículos donde la resonancia magnética relaciona áreas retinianas concretas con volúmenes cerebrales. De esta forma conocemos que existe una correlación directa entre el grosor de la capa de fibras nerviosas de la retina peripapilar, las del cuadrante temporal y el volumen del lóbulo temporal del cerebro y el hipocampo. También hay evidencias de la asociación del cuadrante inferior con el volumen del girus lingual.

A la vista de estos hallazgos, buscar manifestaciones oculares en patologías cerebrales parece algo razonable. Sobre todo cuando enfermedades neurodegenerativas como el alzhéimer, la esclerosis múltiple, la enfermedad de Parkinson, la esclerosis lateral amiotrófica (ELA) e incluso la ataxia de Friedreich producen muchas veces cambios en el sistema visual previos a los síntomas clínicos.

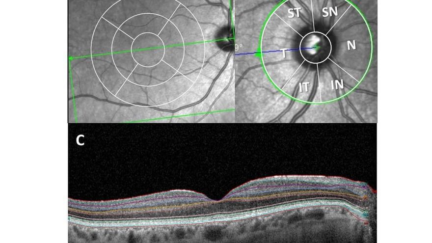
La retina explorada mediante la tomografía de coherencia óptica

La tomografía de coherencia óptica, conocida por sus siglas en inglés como OCT, es una técnica de imagen que ofrece la posibilidad de explorar el ojo a nivel casi histológico. Se trata de una técnica que funciona de forma similar a la ecografía, empleando ondas de luz de baja coherencia, en lugar de ondas de sonido. Este haz de luz es capaz de barrer toda la retina deseada en pocos segundos, sin necesidad de colaboración del paciente y tan solo instalándole un fármaco dilatador de pupila.

Examen de la retina con la Tomografía de Coherencia Óptica (OCT).

La evolución de esta técnica, que presenta cada vez mayor resolución, permite poder analizar cada una de las capas de la retina, ofreciendo gran precisión en el diagnóstico de las enfermedades neurodegenerativas.

Es más, actualmente las OCT cuentan con sistemas de seguimiento que permiten reexaminar al paciente, situando la imagen justo en el mismo punto que la exploración anterior. Eso asegura la comparación precisa de medidas futuras con los datos de referencia y facilita el seguimiento de los pacientes.

El comportamiento de la retina en la enfermedad de Alzheimer

Cuando analizamos la retina de familiares de pacientes con alzhéimer, sin pérdida de memoria pero con alto riesgo genético para el desarrollo de la enfermedad (mutación alelo ɛ4 para el gen del ApoE), se encuentran cambios de grosor en la región central de la retina, llamada mácula, encargada de la visión fina y de la percepción del color.

En los estadios más leves de la enfermedad de Alzheimer, cuyo principal síntoma clínico es la pérdida de memoria, el primer cambio que aparece en la retina es la disminución del grosor del área macular, tanto en la capa de fibras nerviosas como el volumen total macular. Cuando la enfermedad progresa a un estadio moderado y se producen problemas en la ejecución de las tareas cotidianas en estos pacientes, las alteraciones retinianas evolucionan también hacia el área peripapilar, donde los axones de las neuronas retinianas comienzan a formar el inicio del nervio óptico, que dará lugar al resto de la vía visual.

En conclusión, estos cambios retinianos en distintas fases del alzhéimer permiten un diagnostico muy precoz, al detectarse en sujetos sin sintomatología clínica pero con un alto riesgo genético de sufrir la enfermedad.

Además, la OCT permite examinar a aquellos pacientes que empiezan a tener síntomas clínicos para poder aplicar un tratamiento de manera precoz.

Por último, al poder analizar la progresión de la enfermedad, ofrece la opción de comprobar la utilidad de un fármaco en el control o estabilización de la enfermedad.

Este artículo fue publicado originalmente en The Conversation. Puedes leer el original aquí.

The Conversation
Etiquetas
stats